Remember in the 80s when sitcoms were mainly about hilarious miscommunication or other crazy hijinks? And then every once in a while, there would be an episode dedicated to “tackling the tough issues” and it was billed as A Very Special Episode. Well, buckle up. Because this is a Very Special Post. And there are tough issues to tackle.
(Ignoring my journalism training, I’m going to bury the lede. So read on if you will. Sorry, Professor Richardson.)
Regular readers may know that I fall down more than the average person. I stopped running a couple of years ago because of a particularly bad tumble. Early this fall, in one of my (usually futile) attempts to get in better shape, I noticed that on very long walks, my right foot was slipping a little bit. I wasn’t tripping over it, but I could feel it brushing or slipping along the ground.
I went to my family doctor, who agreed that it wasn’t normal.
I went to a neurologist, who stuck a bunch of needles in my foot and leg and gave me some electric shocks. (I asked him if it would hurt, and he looked at me like I was an idiot. Of course it hurt.) He determined that I actually have weakness on my whole right side.
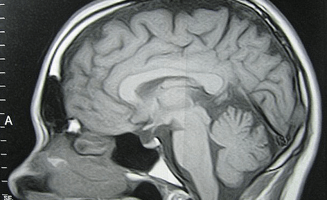
Next: an MRI of my brain and spinal cord. Two hours, in a mask, in a tube. This is very boring but it actually wouldn’t have hurt if I hadn’t left my hair bundled up in an awkward knot under my head. Let that be a lesson to me. (Disclosure, that is not my actual brain up there. I haven’t seen mine.)
Next: a lumbar puncture. It’s the same thing as a spinal tap (and it goes all the way to eleven). Upside: it comes with lots of novacaine. Downside: it is followed by a five day crushing headache.
None of those are the tough issues, though. This is the tough issue:
It turns out that I have primary progressive multiple sclerosis.
Shocking. Just shocking. It’s been at least a couple of months since doctors started asking me if I was experiencing any numbness or tingling (which I’m not, by the way) so a diagnosis of MS was not totally out of the blue. Do any google search for those two words and MS is all over the place. But I guess there’s no way to prepare for the news that your life is going to take a different path from the one that you’ve always expected. And not in a good way. It knocks you back.
I have a lot to learn, but here’s what I know so far. There are two kinds of MS. One is much more common, and involves “attacks,” or periods of greater intensity of symptoms, followed by periods of remission. One is much less common, and involves a steady increase in symptoms over a period of time that varies from person to person. My MRI findings (which will be verified by tests on spinal fluid and blood) indicate that I have the less common form. From what I’ve been told so far, there aren’t really proven drug therapies for PPMS. I’ll just be managing health and symptoms as best I can. I might have trouble walking in a year. Or in a decade.
What I don’t know could fill volumes. What can be predicted and what cannot? How will my family be affected, especially John? What can I do to be as strong and healthy as possible for as long as possible? What are the smartest ways to live my best life? I’m supposed to have an appointment with a specialist to help me start figuring it all out.
On a deeper level, I’ve been thinking about these things:
I need to plan wisely for the coming decades of my life. Things are going to change, and I want to plan for the worst, but hope for the best.
This moment, this very week or month or year, might be the moment when I’m in my very best physical and mental shape, and I should take advantage of that as much as I can. Right away.
I need to think about my priorities, and make sure that all my love, energy, passion and time are spent on the people and things that mean the most to me.
And actually, all those things are true for every single person, MS or not.
I got this news during a week when, tragically, many families in Connecticut had their hearts irrevocably broken in a way just too terrible to bear. And there are people every day, everywhere, who get worse news than mine. So to put it in perspective: I’m ok. My family is safe. I’m loved and supported by an amazing network of friends and family. Whatever else is coming, we’ll deal with it.
P.S.
I’m sure I’m going to be writing about MS on this blog — writing about things helps me process them — but I’m not going to link to any more posts like this on Facebook. I don’t think this is the kind of thing people want to be thinking about over their morning coffee. So feel free to check back here directly if you want the updates, and please comment here rather than on Facebook.

Katie, I love you and you know that we are here to support you in every and any way we can. Already you have demonstrated the kind of bravery and strength that will help you through this. Hugs Hugs Hugs. xoxoxox
Thank you, Anya! Let’s get together soon and I’ll take you up on the hugs in person.
Katie, I’m so sorry/ sad to hear this news. You and your family will be in my thoughts. I’m sending you a huge hug….
Thanks, Lori!
Katie
Usually I never read the “article” type post. Don’t know what drove me to read this one. Was thinking it was political and I just don’t read those. To find out that it is personal and one of my dear longlife friends I’m glad I read it. I’m far away but I’m here. Always consider me family and if you just need an ear- I’m around. Love ya always-blair
Thanks, Blair! I never did get to Charlotte in fall, but will be there in February. Maybe lunch?
Kate, I’m so sorry to hear that. You might remember that I went through the exact same thing while in college . . . Once the shock wears off, you will be fine. I promise. Please call me, we need to talk!
Love you, Ann
Ann, we DO need to talk. I’ve been thinking about you. I’ll call you soon –
Katie, you are an amazing, brave, and wise woman. You, Matt, and John are in my thoughts and prayers and will remain there. Though I am far away and it has been many years, I will do anything I can to support you, even if it’s just a virtual hug when you need one. – Jerilyn
Jerilyn, thank you. We’re definitely accepting virtual hugs around here!
Oh Katie. You know we’ll be here to support you and we’ll do our best to keep you laughing! Don’t hesitate to ask for anything, anything at all.
Thank you!!!
Fronelle – Thank you so much for telling this story. I continue to be awed by your eloquence, humor and perspective. (Goes all the way back to your dorm room bed in 1990. I knew we’d be friends forever.) My mom was diagnosed with MS (the other kind) in her late 50s, so I know a tiny bit about it. A woman at my church who is our age has it, too. I am going to find out which kind. I did not know she had it until she started a blog. Has two kids, very fit/trim, active, working, etc. I know your mind is racing. Mine would be, too. I will pray for peace that surpasses all expectations. I love you dearly, Fron. PLEASE keep talking here. I already had it bookmarked. xoxoxoox Laura
Thank you, MD. One of the things I feel most strongly right now is that I wish I could have all my frons a little closer to me. It’s nice to have you virtually here, and I really appreciate your support!
Katie, my thoughts are with you, Matt & John. Thank you for having the courage to share your hard news, and being open to the care of your community. Big hug. Becky
🙂 Thanks so much!
I so admire you for the way you tackle this head on – thinking of you, John and Matt. You are so incredibly strong and this will help throughout this journey. Xo! (We really should get together for lunch sometime soon.)
Thanks, Reinhold. We’ll see you soon. Lunch soon and often!
Katie. You have been on my mind for all week. Thank yopu fpr sharing this in such an open and frank way. We are there for you, Matt and John.
Ian
Thank you – looking forward to seeing you this weekend and thoroughly ignoring the whole thing. 🙂
I agree with others, Katie, that you are an extraordinary woman. While this news changes the direction of your life, I know that you will look through the challenges to find hope, love and joy. Thoughts and prayers for you and your family travel this expected path.
Thank you, Julie!
Wow-this is not what I expected to read upon clicking on the link. I can’t imagine your thoughts and emotions over the past several days with so much going on personally and nationally. What an inspiration you are to me. Your grace, perspective and strength in light of this diagnosis is down right amazing. My thoughts are with you, Matt and John.
Thank you, thank you. Matt and I appreciate the support!
Katie, God bless you, Matt, and John. I am so sorry to learn of your diagnosis. Speechless. Despite the years and distance, the seeds of generosity and kindness you have planted unfailingly among your friends will bare fruit. Selfishly, for our own comfort, your friends can take some solace in your uncanny knack for seeing beyond the day-to-day and glimpsing, understanding larger intention and purpose. Its always been something that’s struck me about you. And … its evident in your writing – you, and your family, will find a way. Like all of your friends, near and far, I pray for you, will you onward and support you with the best of my intent and spirit. I am sure there are things for which all of us may be helpful – even small things. Please ask – often times we don’t see our potential to be useful.
God bless you, Matt, and John in this continuing journey …
Sunjay, thank you so much for your thoughts. I’m working hard to glimpse larger intention, and so far it seems to have something to do with friends and family. Glad that you’re among mine.
Katie! I can’t imagine what you are going through, but I am here to talk if you need. Now more than ever I wish we lived closer.
I hope to see you soon and I love you!
-rachel
Thank you, thank you. What we need is more fun – hopefully we’ll see you for some of that in the coming year. 🙂
Love love LOVE you all Katie. Love you for your courageous post. Love being your friend from far away. Love that our sweet kids play Star Wars together. I am confident in your strength and in the powerful love that your friends and family will surround you with. We will do whatever we can, whenever, wherever. Hug those boys. Hope we’ll be hugging you soon, too.
Thank you, Meredith. Love you too, and we appreciate your thoughts. I’m more determined than ever to keep close to the people who matter – maybe another trip to S.C. is in order? It has been more than a decade, after all.
Katie- I am so sorry to hear about your diagnosis. As someone who has had health issues, I know the great sense of loss that one feels when life suddenly tells you that it has different plans for you than you made. I can only tell you that over time it will get easier emotionally, and you will still have the rich life that you imagined. We are all on borrowed time; the only difference between the sick and the “healthy” is that the sick have a reminder of mortality that they live with, and the fear that every symptom means some new progression of disease. You will learn to manage that fear, and the terrible irony is that you will appreciate life so much more because of the awful diagnosis. I’m sure that you would readily trade that to not have MS hanging over your head; it absolutely sucks. However, reading your wonderful blog and knowing of all the many friends you have, I know you will find your way. Hold your family close, and if you ever need to talk, please feel free to message me. Take care, Love, Ashley
“Life suddenly tells you that it has different plans” hits it on the head exactly, Ashley. Thank you so much for reaching out and for the reminder of all the good things still to come.
Thinking about you, Katie, and sending positive energy your way. Keep writing and breathing and reaching out.
Thank you Kathleen! I welcome all positive energy at any time. 🙂
Katie-I’m so sorry to hear about this. I am thinking about you and your family. Please let me know if there is anything I can do, ever. My thoughts are with you…
Thank you!
A truly brave post that shows how strong you really are. We love you and will be thinking of you all.
Thank you so much!
Oh, Katie. I am sending you such a big squeeze. I can’t imagine the emotions, feelings, thoughts..which you are cycling through. I am thinking of you and sending oodles of well wishes your way. xo Brooke
Thanks, Brooke! Matt and I appreciate all the well wishes. Hope to see you soon!
Good post and the right attitude. No surprises there on either one. Lots to share but better in person, but knowing someone who got the same news 30 years ago, you can be sure that although things will change, it doesn’t have to be bad. See you guys soon. Otis misses John
We miss you both and Otis, too, and would love to get together and talk sometime soon. Thanks for your thoughts.
I’m very sorry to hear your news Katie. I wish you good health for a long time to come. Bill
Thanks, Bill! I’m glad to see your name – hope you’re doing well.
Katie, your composure and eloquence (always! but particularly under the current circumstances) is absolutely amazing to me. Truly inspiring. We’ll be thinking about you guys and sending a current of positive thoughts across our backyards.
Thank you! I can see the backyard starting to glow with positivity already.
Damn Katie. That was not what I was anticipating reading even after being forewarned by the buried lede. Your diagnosis is just a starting point of things to be aware of. It is not who you are or who you will be in the lives of those around you. My thought are with you and your family as you come to understand the impact and meaning this will have on your lives. Keep writing. Sometimes, it is a better way to process one’s thoughts with a greater prospective than solitary ruminations in one’s head can provide.
Thanks, Nancy, for your warm thoughts and for your appreciation of the buried lede. It was a drastic step, but it had to be done.
Katie, I am so sorry to hear this news. I am so proud of you for your outlook and strength. Let’s hope for many healthy years to come. I will keep you in my prayers.
Sara
Thank you, Sara!
Katie, thank you for sharing this. I can only imagine how difficult this process has been and how difficult it must be to try to digest this and wrap your arms around the future when there are no answers. I know you, like me, don’t like living in the gray. We want to know, plan, and execute. Your attitude is buoying and does give me pause to think about how I live each day, which was also further affirmed about the tragic events in CT last week. Count me in for your cheering squad and do please keep writing about it. You are not alone.
Thanks, Holley! This was very isolating at first, so it’s great to hear from friends even far away. I’ll count on you for cheering. And for bourbon recommendations.
Dearest Lovely Katie:
I am shocked and saddened to learn this news but as always, inspired by your grace. You have the very best attitude in facing this and I am here for you 1000% percent old friend. Much much love. -Sherri
Thank you so much, Sherri. Now get yourself back East so we can inspire each other in person.
Katie–
I echo Sherri’s comment above that, as always, “grace” is the word that comes to mind when I think of you–in your words, your writing, your being. Sending love and peace and all the good vibes in the universe your way, old friend…will be thinking of you and cheering for you each day.
Thanks, Tracy! I appreciate that so much.
Katie,
We love you and Matt and John so much. Good for you for approaching this with such grace and grit. You know we’re here for you, whatever you need, whenever.
Thank you!! We’ll throw pebbles at your house when we need you.
I’ve been trying to think all day what to say other than I’m sorry and filled with sadness and love and admiration for you. I’ve loved reading what you write, and I’m in the weird position of wanting to say that I’m looking forward to reading what else you have to say about this.
Thanks, George. I appreciate the support and you’re in luck! I actually have quite a lot that I want to say about it — writing feels good to me. Stay tuned.
Katie,
You are amazing. What a brave post and strong outlook. Though I’ve never met John, I know he is lucky to have you as a Mom. You are in my thoughts. I wish you and your family the best.
Thanks, Jeanette!
Katie, there are few words that can make this all ok. Really no words make it ok. I know that. What I can offer you is support. Support to your family and support to you emotionally. You are a treasure and you have so many people that love you. Lean on us we are here for you.
EJ, thank you. This is a hard one to respond to, I know. The usual things (You’ll fight through it!) don’t really make sense. But I appreciate the support, and will lean as needed. Thank you again.
Thinking about you. I love your outlook. We are all behind you!
Shirley Anderson Cook, Norm and Anderson (2)
Thanks Shirley! You know what would really help me feel better? Pictures of Anderson. Get on that right away!
Hi Katie,
I am here. Anything you need, ever, just let me know.
K
Kerri, thank you. I appreciate you!
xoxo
Much appreciated – thank you, Jud.
Matt and Katie – We are thinking of you, are with you , we’re just down the street, and can be wind under your wings. You can always call on us – we love you all!
Hugh and Barbara
Thank you! We really appreciate your support!
Oh, Katie. Like all others, I would so like to give you a hug. I’ll settle for hugging your Mom and Dad instead. Thank you for the gift of writing what you have sent out. A demonstration of your strength and clear-eyed courage, which will serve you always. You’re something’, girl. David, too, sends his love. Peg B.
I have a feeling that Mom and Dad can use the hugs just as much. Thank you for your thoughts!
Katie,
We are sad to learn the news but are heartened by your strength. Declan would love to play with John. And Caroline would love to chase the two of them around. This is something we should do before the kids stop being so dang cute. We will have to figure something out.
Sending lots of love from the Left Coast.
-Mike, Katherine and crew
Thanks for the love and thoughts. Let’s try to get together!
Katie–I am so so sorry to hear this and am sending you lots of love. Just sent my Xmas card your way before I read this and one of my commitments was that I wanted to come visit you this year. This seals the deal. (If you want me to visit, of course!) XOXO Lucia
Of course! Get yourself up here a.s.a.p. It’s been far too long already. Thanks for being in touch!
I’m so relieved to read the words “I’m ok”… you have not left my mind or my heart since Matt called. Wish we were all together next week… I’m banking on some QT when you are here in February. We’re your biggest fans and will be with you every step of the way.
Lots of love,
Team Aunt Katie
Sarah, thanks, and lots of love back to you. Sorry to have been out of touch – we’re getting there, though.
There are no words. But that doesn’t mean we shouldn’t try.
For instance, since Sarah pointed me to your post this morning – and then after I shared it with other past/present mStonerites – we’ve collectively pioneered new ground in profanity. No single epithet has yet been up to the task of encapsulating the feelings we have. But we’ve found – especially Mark – that repetition helps. So does volume. And while we haven’t yet found the perfect swearing solution, we’ll keep you posted on progress.
Until then, stay strong. I love you. We all do.
I appreciate it, with volume and repetition of my own. Thank you.
If you need someone to help you curse, I’m here and have already started. I now work FOR YOU.
Kate, that’s weird right? How that all worked out. But I like having you as my advocate now. And I can be your test audience any time.
Katie, it has been too long since we’ve been in touch for this to be our reuniting moment, but I suppose that whatever the connection it’s better than none at all. I really hate to hear what you, Matt and John are facing – in a general way. That said, in a specific way, I think you are going to kick this MS where it hurts! In all seriousness, your writing is so beautiful and I know you will carry us along with you on this journey wherever it takes us. And please know that it is an “us”. You must know that we are all on your team and ready to support you however you need us. Be strong my friend. I know you are.
Thank you, Maryanna! How good to hear from you and how kind of you to reach out. I appreciate the support so much.
Katie,
1. Not what I thought I would be reading about.
2. You are one of the most AMAZING women that I know.
3. No matter what might come next, please remember this: YOU GOT THIS!!!!!! You are brave and strong and funny and upbeat, oh and I think I mentioned, AMAZING! You have got this!
4. If you need anything I command you to let me know!
5. And most importantly, I love ya baby!
Nikki, thank you. And be careful what you ask for! John Jennings needs his team around, and you know you’re the team captain for him. Thanks for your support – we’ll see you soon!
Hey, Katie–You’ve heard me yell a few profane words at the men in “stripes” on the hardwood. I too have practice with repetition and volume. I just need to redirect my colorful words and cheer you on! We love you! You are a winner! Of course, we look forward to seeing you, Johnny and Matt in the New Year!!
P.S. Put the double space after the period for Matt’s benefit!
Love,
Liz, Jim and James #33
The Jensens
I know with a cheering section that includes the Jensens I will be unstoppable. Thank you so much for checking in. We look forward to seeing you soon!
Hi Katie: we love you and wanted you to know that we will be available as permanent baby sitters any time you want to take a spa weekend or anything else! Love, Julie.
Thank you!! We appreciate your support!
Love you. Mom
Love you, too, Mom. Your trip up here can’t come soon enough.
Wow, Katie, your post nearly took my breath away! I am dearly sorry about your diagnosis and wish your digging deep to figure out your new path were merely due to the usual existential angst of aging that’s on the radar screen of nearly everyone I know. But figure it out, I have no doubt you will. You are someone I am always glad to have run into around town and always wishing I had a chance to see more often, and it’s chiefly because of your positive energy and great sense of humor. Those things, along with what seems from the above comments to be a rockstar support network, will no doubt serve you well. I’ll keep you in my thoughts and continue to appreciate the privilege of getting to read more of your brave, witty, smart, honest writing. I’m a big fan of the writing and the writer alike! Love to you and the boys. Amy
Thank you for your support, Amy! I’m going to be working hard on the positive energy.
Katie,
I’m sure as the diagnosis emerges and you run down the list of all the things that will change, it’s tough to think of the things that won’t. I look at that picture at the top of your post and can’t help but think of that beautiful brain of yours and all of those wonderful things that make up you that will absolutely not change, and what an amazing person you are, and will still be, and always were. Our prayers are with you and your family. Warmly, Buddy
Thanks, Buddy! That means the world to me. Thank you.
I love that in true Katie style you’ve already created a tag category for MS and filed this post under it and “Living.” Even the tiny things you do speak volumes. Big ups and much love.
Thanks, Laurel. I loved and was inspired by the message you sent yesterday, too. PFA.
From a girl raised in a home with a dad who was chronically ill and in a wheelchair -I say, “I wouldn’t have wanted him any other way.” The lessons learned in my home have served me well, although I can only imagine the full burdened my father bore. Your son will be fine – as the makings of a good and providing parent are not constrained to the body you are in, but rather the spirit in which you take on the challenges put before you. Jon will learn from this, and you will too and within that journey you’ll share truths with Jon that will forever tie you together in ways that only you, your husband and your child will know. I don’t mean to gloss over the hard shock of it all. I am burdened for you. You know how I grew up and I can say honestly, that I wouldn’t trade my dad or his wheelchair for anything in the world. It made us different, but different in a way that I’m proud of. Different in a way that made us a bit more ingenious (to solve the problem at hand), a bit more stubborn (to keep us going), a bit more non-nonchalant (cause you can’t sweat the small stuff), a bit more loving (because you never know when things might get complicated). There are beautiful silver linings to the potential hardship that you might face. I know. I promise. I swear. Jon will be fine…and so will you. Keep writing…it is good for the soul.
Thank you, Jenni! I remember your dad very well – just regular things, like his smile, and his telling us to go to sleep at a slumber party. It’s nice to have your perspective on all this.
Katie, haven’t had a chance to talk with you in a while, but read this and wanted to reach out. I’m so sorry and can only imagine how difficult and frightening this must be. I’m so impressed with your courage and wish we lived closer and could help in some way. It’s been a few years since Mataio and John have hung out, but maybe this summer, when we’re back in town. Warmest wishes to all of you, Justin
Thank you! I appreciate the support from so far away.
Katie- First, we love you and have been thinking of you every minute. We wish we were all together for Christmas now more than ever.
Keep your chin up and be sure to include us in your “living life to the fullest” plans! Possibly, a trip back to Ireland with the kids soon? Of course, you will have to be in charge of return flight plans to avoid being stuck in a foreign country…
Love,
T
Thanks for the love. We miss you guys as well, but hopefully will see you soon. Maybe Italy with the kids? John thinks pasta is its own food group, so that could be a fit.
Oomph! I feel like the wind was knocked out of me. My darling friend, words are elusive…you are in my thoughts and prayers and I will visit soon.
Thanks, Jan! I appreciate your thoughts. Also, I have your punch bowl (unused this year) so we may need to figure out some new festivities.
I like the friend of yours who wants to help you curse your heart out. We’ll have a party, featuring some lethal concoction in the punch bowl, and see how inventive we can be in our expletives. I think it would be very cathartic.
Katie, you are so courageous and I admire your strength (and your way with words) so much. I know you will have a balanced perspective about all of this. We are only a yard away if you need anything….really! And let’s finally have that lunch (or drink) soon. Sending you, Matt, and John our prayers and love. Xxx Amy
Thank you, Amy! Let’s definitely get together.
Katie:
As so many before have already recognized, your bravery and eloquence in writing this are amazing. And again, as many have pointed out, if there’s anyone who can face this with grace and strength, it is you. While I am sorry that it is this that has led me to contact you for the first time in years (my Annual Fund solicitations don’t count…but don’t think they’ll stop), I am glad that I followed the link to read this, and I look forward to cheering you on as you take on this challenge. All the best, and thank you for your example of courage and grace–Ames
Ames, thank you. It’s great to hear from you, and I appreciate your support.
Ditto to everything that’s been said since I don’t have a way with words like that. Love & prayers & positive energy coming your way from my clan as well as anything we can do to support you on the road ahead. And a live hug asap.
Thanks, Michelle!
Thank you, Katie, for writing about this in a way that made me stop and breathe and remember to appreciate what I have today. I can’t imagine what this is like for you. Your writing about it is a gift to the rest of us. (Maybe you don’t need to be so protective of those Facebook users and their morning coffee.)
Not sure if you were aware, but we excel at providing emergency babysitting, Star Wars literature, and/or whiskey to people marooned in specialists’ waiting rooms in Burlington.
Svea, thank you. In this household we are big fans of both whiskey and star wars, and will definitely keep you on call.
Katie, as you know, the Morgan/Clark clan is always here for a hug, a playdate, a Star Wars battle, or really anything for that matter. We are thinking of you, Matt, and John- and are so, so grateful to have you as friends.
Very best,
Mike
Thanks a million, Mike. We are so grateful for your support. And your Star Wars toys.
Hi Kate– after talking to you yesterday I wanted to read your blog– sorry if I inundated you with so many of my crazy ideas/thoughts– it’s out of love and a wish to find a solution– I know you will find your own way through this– I promise I’ll always be here to listen (and not talk so much!!) Love you
Julie, I love you for your crazy, you know that. Let’s talk soon.
Katie – Matt and I have been thinking about you all so much this week. The way that you shared this news is truly a gift to remind all of us to live like you described. I wish I could live like that each day. And I hate that this is what it takes to actually “talk”.
We wish we were closer to you all to give a hug but know that there are lots of prayers happening here in Texas for you and your family. Merry Christmas, friend! Love, Valerie (& Matt)
Valerie, thank you! I’m so glad to hear from you and I appreciate your support!
Sweet Katie, you are covered in prayer down here in big D! I’m so sorry to receive your news. Do you remember that I worked for Dr. Elliot Frohman right after college – MS Specialist from Johns Hopkins who came down here to open up the MS Program at UT Southwestern? I’m sure you are being well doctored up there but if you need any additional resource contacts, please let me know. My wonderful friend, Brooke, also has MS and has 2 little boys and I know would love to connect with you and give you that support from someone who lives a great life with a hard disease. I have met so many amazing women with MS and you, my friend, are one of those amazing women. I miss you lots and can’t wait to see you sometime soon. Hugs to Matt and that little John. Dan and I are up to our eyeballs in life with 4 girls. 🙂 He hunts A LOT! Ha ha ha. And the girls are starting to correctly identify the ducks! hee hee hee. I love you precious Katie and my heart and prayers go out to you during this season. Love, Juls
Juls, it makes me smile to think of Dan and all his women down there – when John saw your Christmas card, he said: “Wow. That’s a lot of girls.” Thank you so much for your thoughts and love!
Dearest Katie,
Love and light being sent to you. I am
not a wordsmith so I will try what I know
best, laughter = medicine. If ever starved
for a laugh call me and I will tell a bad
joke or two or recall ridiculous old times
“Wesson oil & a blank video tape”, “Kenny
and Laura’s butt”…
Smiles & hugs,
Pauline
Pauline, it’s working already. “Kenny and Laura’s butt” made me laugh out loud – how can I have forgotten about that? I thank you for the love and light, and I’ll call you about the yoga. Katie
Pingback: 2013: The Year of Living Selfishly « Down South Street
Pingback: A little bit like a prayer. « Down South Street
Pingback: Unimportant. « Down South Street
Katie, I realize you do not know me but I read this post on a MS site. I have MS and have had since I was in my 20’s. I did not find out for sure what was wrong until my 45th Birthday. That was one present I did not want! I have Primary Progressive MS. I tried for 9 years to find out what was wrong… They just did not know!! I thought I did, you see my Mom had Primary Progressive MS. But back in the 80’s there was not much they did back then. She was treated with steroids, my mom passed away when she was 58 due to complications from the Steroids… Not MS. I have taken several MS treatments over the years I am 55 as if March 15. I was not good for so long and nothing seamed to work. I had issues with my legs,( was in bed for about 28 days out of the month and had cognitive problems. My husband would kiss me Good Morning and leave the room to come back in 2 min’s and I would ask where my Good Morning Kiss was…. I did not remember his kiss! The Doctor I went to was awesome and he did all he could. He was in on the development of Tysabri … A new MS Treatment…. He said I should try it. Nothing I had tried was working. The long and short of it is I tried it. Thinking the chances were worth it. I was told I would be in a wheel chair soon and I had seen all this happen with my mom so I knew what was ahead of me. Tysabri is suppose to work within 3 months, it did Not but I was asked if I wanted to give it longer because it was not really a treatment for PPMS. What did I have to loose? Well the day I hit 6 months it was like I flipped a light switch on… I could think and remember and my legs worked!!! I am now stable… I still have MS and have my ups and downs but I’m pretty much good. I still can walk, not as far or exactly like I did before. But be leave me there are treatments out there for us all. I pray today is good for you and if it was not one of your best… I pray tomorrow will be. I find there are lots of Blessings too. I’m a quilter, when my brain works I quilt. I also get to be home when my husband in home. He’s on call 24/7 with the railroad. But I can not work any longer. I would not have this time with him or my grand babies, children and family … If I worked. Hope you see this as encouragement as I hope it to be. There are a lot of us MS’ers. Your friend in this test of life. Nita
Thanks for writing, Nita. Good luck to you as well!
Pingback: Later, 40. | steady she goes
Hello Katie,
My sister in law sent me your link, as I also was recently diagnosed with MS, although not the progressive type. I am still wrapping my head around it all, and feel I may be doing so for some time. My best friend got diagnosed with the same type of progressive MS as you, a year ago. She has called me her “rock” , for quite some time. Now I’m hoping to be my own rock as well. I am lucky that I also have a great support system, and have already learned a lot , and had the opportunity to be more hands on in the availability of resources.
I intend on following your blog, and even chiming in when I feel the notion.
Thanks for putting this out here.
Lori
Lori, I’m sorry about your diagnosis. I wish none of us were having to deal with this. Good luck to you – I hope to hear from you here in the future –
Pingback: Year One. | steady she goes
Pingback: Courage. | steady she goes